En este ejercicio clínico se presenta un caso que es discutido por un médico internista al que se le van proporcionando datos de la historia clínica en forma secuencial, y este analiza el cuadro a la luz de los nuevos elementos, de una manera análoga al proceso diagnóstico en la práctica real de la medicina.
Un paciente de 18 años se presentó con dificultad respiratoria, tos productiva de esputo claro y un antecedente de dos semanas de dolor pleurítico. También reportó sudoración nocturna, fiebre y fatiga, pero no refirió hemoptisis, pérdida de peso, viajes recientes o exposición ambiental reciente.
La combinación de dificultad respiratoria progresiva y dolor pleurítico son sugestivos y plantean dos posibles secuencias patogénicas o fisiopatológicas. En el primer escenario el proceso primario puede haberse originado en la superficie pleural y producir un derrame pleural o un gran neumotórax suficiente para causar disnea. Un segundo escenario es un proceso originado en el parénquima pulmonar (causando disnea) y posteriormente extendiéndose a la superficie pleural (causando dolor pleurítico). En cualquier caso, la presencia de sudoración nocturna, fiebre, y fatiga sugieren una infección de base o un proceso inflamatorio no infeccioso, aunque neoplasias (tales como linfoma) o incluso embolismo pulmonar recurrente son también posibles.
El paciente había tenido dos episodios de neumonía adquirida en la comunidad en su adolescencia, el último de ellos hacía dos años. También le habían extirpado un quiste del cuello cuando niño. No reportó enfermedades serias ni ninguna otra cirugía. No tomaba medicamentos. No había antecedentes de fibrosis quística, enfermedades pulmonares o inmunodeficiencias. Sus vacunaciones estaban al día. Había terminado recientemente su escuela secundaria y vivía con sus padres en un área suburbana. No fumaba, no tomaba alcohol ni utilizaba drogas ilícitas. No tenía mascotas.
El antecedente de episodios previos de neumonía adquirida en la comunidad aumenta la sospecha acerca de una susceptibilidad de base a infecciones bacterianas o de otro tipo sea debido a un problema sistémico asociado a deterioro de los sistemas defensivos pulmonares (tal como inmunodeficiencia, disfunción ciliar, o fibrosis quística), o debido a enfermedad endobronquial focal que lo predispone a infección postobstructiva (especialmente si los episodios de infecciones pulmonares previos fueron en la misma localización anatómica). Aunque lo que se describe como quiste en el cuello probablemente no esté relacionado con los síntomas actuales, la posibilidad de un problema anatómico de base, o una complicación siguiendo a la extirpación del quiste, o que el quiste haya sido un ganglio linfático infectado (como es el caso de una linfadenitis tuberculosa), más que un quiste estéril deben ser considerados.
El paciente era de raza blanca, delgado, y no se encontraba en mal estado general. Su temperatura era de 36,6°C, la frecuencia cardiaca de 88 por minuto, la frecuencia respiratoria de 18 por minuto. La presión arterial de 106/56 mm Hg, y la saturación de oxígeno de 98 por minuto mientras respiraba aire ambiente. Su altura era de 163 cm y el peso de 55 kg. No tenía adenopatías cervicales. Se auscultaba una respiración ruda en ambas bases y egofonía en el campo medio del hemitórax derecho. En su espalda y en ambos muslos presentaba pequeñas lesiones acneiformes; no había hipocratismo. El resto del examen físico era normal.
El recuento de glóbulos blancos era de 7000/mm3 con 74 por ciento de neutrófilos, 16 por ciento de linfocitos, y 10 por ciento de monocitos. El hematocrito era de 40 por ciento y el recuento de plaquetas de 344000 por mm3. Los niveles de aspartato y alanino aminotrasferasa eran normales en 30 y 22 unidades por litro respectivamente. El resultado de la láctico deshidrogenasa sérica (LDH) era de 325 unidades por litro (normal de 60 a 200). Los resultados de análisis de electrolitos y análisis de orina fueron normales así como el nivel de creatinina. Una Rx de tórax mostró opacidades del espacio aéreo en lóbulo medio derecho, língula y ambos lóbulos inferiores (Figura 1 A y B).
Figura 1. A Vista anteroposterior. mostrando opacidades del espacio aéreo en el lóbulo medio derecho, lingual y ambos lóbulos inferiores.
Figura 1 B. Vista lateral (Panel B) mostrando lo mismo que lo visualizado en la Rx de frente.
Las extensas opacidades del espacio aéreo y la consolidación sugieren que el proceso causante del dolor pleurítico comenzó en parénquima pulmonar y se extendió posteriormente a la pleura. Además, la naturaleza multifocal de las opacidades en la Rx de tórax no es consistente con obstrucción endobronquial que favorezca la neumonía post obstructiva. Mi primera consideración sigue siendo la infección y una enfermedad inflamatoria no infecciosa, específicamente la bronquiolitis obliterante con neumonía organizativa o neumonitis por hipersensibilidad, ya que ambas pueden mimetizar la neumonía bacteriana. La presentación clínica subaguda que tuvo lugar desde hace unas semanas combinada con síntomas constitucionales es particularmente sugestiva de bronquiolitis obliterante con neumonía organizativa, mientras que el antecedente de dos episodios previos de neumonía adquirida en la comunidad aumenta la sospecha de episodios recurrentes de neumonitis por hipersensibilidad diagnosticados erróneamente como neumonías.
Mi primera consideración diagnóstica sigue siendo una infección y una enfermedad inflamatoria no infecciosa, específicamente la bronquiolitis obliterante con neumonía en organización (BOOP) y la neumonía por hipersensibilidad ya que ambas pueden tener opacidades del espacio aéreo que mimetizan la neumonía bacteriana. La presentación subaguda que tiene lugar en el curso de varias semanas combinado con los síntomas constitucionales son sugestivos de bronquiolitis obliterante con neumonía en organización, mientras que los antecedentes de dos episodios de neumonía adquiridas en la comunidad aumenta la posibilidad de episodios recurrentes de neumonitis por hipersensibilidad diagnosticadas erróneamente como neumonía.
El paciente fue internado y se le prescribió ceftriaxona y azitromicina. Un test para HIV y una reacción cutánea con tuberculina fueron negativos. Los niveles cuantitativos de inmunoglobulinas y complemento eran normales. Los test de FAN y ANCA fueron negativos; la eritrosedimentación era de 57 mm por hora. Varios cultivos de sangre y esputo fueron negativos. Test serológicos para CMV, EBV, virus de herpes simplex y parvovirus B19 fueron todos negativos. Los estudios de inmunodifusión para histoplasmosis, coccidioidomicosis y blastomicosis fueron negativos. Un ecocardiograma transtorácico no mostró anormalidades.
Aunque pacientes como este son tratados en base a la historia clínica y una radiografía de tórax tales como este son generalmente diagnosticados como neumonía y comenzados a tratar empíricamente con antibióticos, el recuento normal de leucocitos y la presentación subaguda argumentan contra este diagnóstico. En consecuencia mi postura sería suspender la antibióticoterapia empírica a menos que el paciente estuviera severamente comprometido. Una infección no bacteriana que consideraría sería la blastomicosis y el hecho que la inmunodifusión haya sido negativa para blastomicosis no debiera disuadirnos de pensar en la entidad ya que ese test tiene baja sensibilidad. Una radiografía de tórax en un paciente con blastomicosis a menudo muestra una o más áreas de consolidación que mimetizan el aspecto de la neumonía bacteriana (como se vio en este paciente).
Más aún, si las lesiones acneiformes encontradas en el examen físico son de aparición reciente, podrían representar las manifestaciones cutáneas iniciales de la infección por Blastomyces dermatitidis, cuyo nombre nos recuerda el potencial compromiso de piel. Sin embargo mi preocupación sigue siendo la bronquiolitis obliterante con neumonía organizativa (BOOP). Como en la blastomicosis, las áreas de consolidación en la Rx de tórax pueden mimetizar una neumonía en el BOOP, pero el inicio clínico suele ser más gradual que la neumonía bacteriana. La ausencia de respuesta a los antibióticos es a menudo la pista diagnóstica del BOOP.
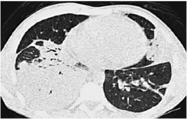
La TC de alta resolución de tórax (Figura 2) reveló opacificación extensa del espacio aéreo que afectaba el lóbulo inferior derecho con otras áreas de opacificación confluentes en lóbulo medio derecho, língula y lóbulo inferior izquierdo. Había también pequeñas bronquiectasias. No había linfadenopatías. El examen broncoscópico mostró vías aéreas normales; el lavado broncoalveolar (BAL) fue negativo para bacilos ácido-alcohol resistentes y también fue negativo para Pneumocystis jirovecii por PCR. Una biopsia transbronquial mostró infiltrados inespecíficos de células plasmáticas y linfocitos.
La fiebre desapareció y la disnea mejoró mientras el paciente recibía ceftriaxona y azitromicina. Fue dado de alta a su casa sin antibióticos después de completar 10 días de antibióticos en internación.
Figura 2. TC de tórax de alta resolución.
Una TC muestra extensa opacificación del espacio aéreo que afecta el lóbulo inferior derecho acompañado de áreas confluentes de opacificación en la língula y lóbulo inferior izquierdo y pequeñas bronquiectasias. Un área de opacicificación en el lóbulo medio derecho (no mostrado) estaba presente.
Aunque las densas áreas de condensación en ambos pulmones, como se ven en la TC son compatibles con el diagnóstico de neumonía bacteriana, también son compatibles tanto con blastomicosis como con BOOP. En particular por la naturaleza periférica de alguna de las áreas de consolidación que pueden ser indicativas de BOOP. La presencia de infiltrados de células plasmáticas y linfocitos en ausencia de neutrófilos argumenta contra el diagnóstico de neumonía bacteriana, y la ausencia de eosinófilos es un dato importante en contra de neumonía eosinofílica.
Aunque el paciente reportó mejoría mientras estaba recibiendo antibióticos, no está claro si el mejoramiento fue espontáneo y coincidiendo con la internación, o el tratamiento fue debida a la acción de los antibióticos. En este momento mi presunción diagnóstica más fuerte es bronquioloitis obliterante con neumonía en organización, pero la infección respiratoria puede ser un precipitante de una respuesta inflamatoria con el patrón de bronquiolitis obliterante con neumonía en organización (BOOP), por lo que el diagnóstico de infección y de BOOP no son mutuamente excluyentes.
Durante las dos semanas después del alta el paciente comenzó con fiebre con temperaturas tan altas como de 40°C. Fue reinternado en el hospital y se le indicó tratamiento con cefepime, clindamicina, y azitromicina. Con el tratamiento mostró poca mejoría al cabo de cinco días de hospitalización. Dado que la biopsia transbronquial previa no había sido diagnóstica se llevó a cabo una biopsia de pulmón a cielo abierto con mediastinoscopía la cual reveló granulomas necrotizantes con infiltración linfocítica atípica. La inmunofenotipación no mostró evidencias de linfoma. La tinción para microorganismos fue negativa. Los cultivos tisulares obtenidos durante la biopsia de pulmón fueron negativos.
A pesar de la supuesta mejoría asociada al primer régimen de antibióticos está claro que el problema está lejos de resolverse y la biopsia para la obtención de tejido estuvo bien indicada. El hallazgo de granulomas necrotizantes con infiltración linfocitaria atípica en el examen histopatológico no es diagnóstico, deja las presunciones diagnósticas iniciales como menos probables y obliga a otras consideraciones. Las infecciones micobacterianas o fúngicas, especialmente las blastomicosis siguen siendo una preocupación en este punto a pesar de un test cutáneo negativo con tuberculina y de los estudios serológicos negativos para hongos. Los hallazgos histopatológicos no fueron sugestivos de bronquiolitis obliterante con neumonía en organización así que yo en este punto estaría preocupado por la posibilidad de un proceso inflamatorio no infeccioso (o aun neoplásico). Entidades que presenten linfocitos atípicos o inflamación granulomatosa necrotizante tal como granulomatosis necrotizante. Los antecedentes de tos persistente, disnea y fiebre son consistentes con este trastorno aunque las imágenes debieran mostrar en forma típica nódulos o masas más que opacificación de la vía aérea. En este punto mi diagnóstico presuntivo es el de granulomatosis linfomatoide o un proceso infeccioso sea este fúngico (especialmente blastomicosis), o micobacteriano.
A la luz de los hallazgos histopatológicos en la biopsia a cielo abierto al paciente se le hizo un diagnóstico preliminar de bronquiolitis obliterante con neumonía organizativa o de un trastorno linfoproliferativo de causa no clara; se comenzó con prednisona oral (60 mg por día). El paciente notó un moderado mejoramiento en su disnea y tos. Fue dado de alta a su casa con seguimiento estricto por consultorio externo.
Yo estoy preocupado por el uso empírico de corticosteroides en este contexto sin un diagnóstico definitivo. A través de supresión no específica de la respuesta inflamatoria los corticoides pueden producir un mejoramiento inicial en muchas situaciones o condiciones clínicas pero el control final del proceso requiere un tratamiento específico. El mejoramiento temprano de la disnea y la tos del paciente después del inicio del tratamiento con corticoides no asegura que el diagnóstico presuntivo de BOOP o de trastorno linfoproliferativo sea correcto. La posibilidad de una infección no reconocida persiste y el uso de corticoides en ausencia de una cobertura antimicrobiana específica conlleva un riesgo dado que estas drogas suprimen la respuesta inmune.
El paciente continuó con prednisona oral 60 mg por día. Fue visto por consultorio externo tres semanas después del alta y allí se constató reaparición de la disnea, fiebre de 39,4°C y tos con dolor pleurítico. Fue reinternado y se llevó a cabo una revision del cultivo de la biopsia de pulmón obtenida tres semanas antes que mostró desarrollo de Burkholderia cepacia. Por ello comenzó con ceftazidima y levofloxacina. Se repitió la TC de alta resolución de tórax que mostró consolidación en ambos lóbulos inferiores y en lóbulo medio derecho hallazgos que no habían cambiado respecto de su estudio previo.
Cuál es el diagnóstico?
La resolución del caso se publicará el miércoles 24/07/2013

